こんにちは。「大腸がん日記」の運営者です。 50代だった2025年3月、私は「大腸がんステージ4」と診断されました。

何もしなければ半年以内
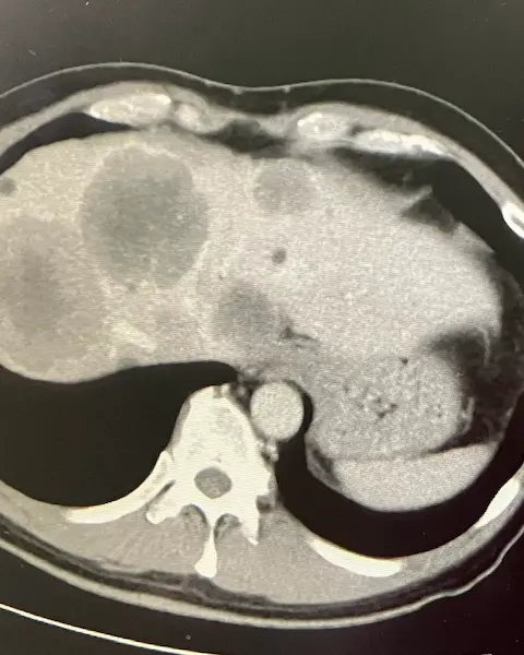
医師からそう告げられ、肝臓全体に転移したがんのCT画像を見せられた日のことは、今も忘れられません。
この記事では、あの「余命宣告」の日から現在に至るまで、私が行ってきた全ての治療の経緯を「タイムライン(時系列)」で記録します。
抗がん剤治療はどんな流れで進むのか? 副作用は? 同じ病気と診断され、不安を感じている方の参考になれば幸いです。
現在の治療状況(2025年11月時点)
診断から約8ヶ月が経過した現在も、抗がん剤治療(FOLFOX療法)を続けています。
副作用は、手足のしびれで字を書くのが困難、皮膚の黒ずみや肌荒れ、口内炎、便秘などです。
CT画像では、がんは小さくなっていて経過良好です。
【第1章】 診断と「余命宣告」(2025年2月〜3月)
闘病生活の始まりは「便秘と血便」でした。
2025年2月:近所の消化器内科を受診
レントゲン撮影で「大量の便秘」と診断。 念の為に行った血液検査で、異常が見つかります。

大量の便があります、大量です。便秘ですね。
2025年3月:消化器内科を再受診
血液検査の結果を聞きに再受診。

血液検査の結果が良くない。紹介状を書くからすぐに大きい病院を受診して下さい。
血液検査の結果はこちら↓

2025年3月:総合病院を受診し余命宣告を受ける
地元の総合病院に電話したら、ありがたいことにすぐに診てくれるという。
お昼時でしたが

早い方がいい
というので、昼から午後にかけて血液検査とCT撮影を行う。
その結果、
- 大腸がんステージ4
- 肝臓全体へ転移(手術はもう出来ない)
- (何もしなければ)余命半年
と診断されました。
CT画像で肝臓全体にがんが広がっていることを自分の目でも確認。

そのまま入院となり、抗がん剤治療の準備を進めることにする。
【第2章】 標準治療の開始まで(2025年3月〜4月)
抗がん剤治療を始めるため、立て続けに必要な処置を行いました。
2025年3月:大腸カメラ&サンプル摘出
大腸カメラで内部の確認とサンプルの摘出を行う。すでに大腸を塞いでしまうほどに広がっていた。
衝撃的なカメラ画像で凹んだ。と同時に、
筆者これは治療をしなければ!
と実感がわいた。医師も

すぐにでも抗がん剤治療を始めないと危ないですよ
という。サンプル摘出してタイプを調べた結果、治療効果の高い分子標的薬が使えることがわかった。
2025年3月:CVポート埋め込み手術
抗がん剤治療のためのCVポート埋め込み手術をする。

これは麻酔で寝ている間に終わった。1時間くらいか。
2025年4月:ステント挿入手術
大腸がんで大腸が塞がっていたので、大腸を広げるステント挿入手術です。横になってるうちに麻酔が効いて気づいたら終わってました。


2025年4月:胃カメラ検査
食道や胃に転移していないかを調べるために胃カメラ検査を行う。幸い胃がきれいで転移はありませんでした。
2025年4月:レントゲン検査
ステントが順調に広がっているかを確認するためにレントゲンで検査。無事に広がっていました。
ここでCVポートで切開した皮膚が閉じて落ち着くまで、一時退院となりました。
次回入院からいよいよ抗がん剤治療が始まります。
2025年4月:抗がん剤治療(FOLFOX)を始める
家族や親族と相談して、副作用に不安を感じつつも抗がん剤治療(FOLFOX療法)を受けることにした。
予め血液検査、尿検査を行って免疫力が一定以上あることを確認して、CVポート経由で抗がん剤を入れて行きます。
全て入れ終わるのに3日間。経過観察を含めて9日入院しました。

吐き気もなく、食欲も普通。副作用が心配したほどではなくて、ホッとしてました。この時はまだ、副作用は回数を重ねるたびに強くなってくるものだ、と言うことを知らずにいましたね。
【第3章】 抗がん剤治療(FOLFOX)の継続と副作用(2025年5月〜)
2025年5月:2,3回目の抗がん剤治療
3週間後に2回目、さらにその2週間後に3回目の抗がん剤治療を受けました。
慣れない入院生活、色々と心配だし不安もあってなかなか眠れませんでした。50代を超えると自分を含めていびきが大きくなるんですよね。結構盛大に聞こえるので、耳栓や睡眠用イヤホンは必須だと思いました。
また電動髭剃りを新に用意して持参しました。カミソリは危険物とみなされて持ち込めません。
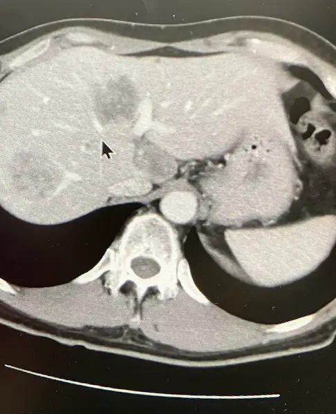
2025年6月:4回目の抗がん剤治療とCT検査(2回目)
CT検査の結果は良好でした。 肝臓に転移したがんが、目に見えて小さくなっていたのです。

(腫瘍マーカー:178)
想定以上に良い結果だったので、
筆者抗がん剤が効いている!
とモチベーションが一気に上がりました。ただし副作用の脱毛が目立つようになりましt。仕方なくバリカンで自主的に坊主にしました。
2025年7~8月:通院治療と副作用の顕在化
2週間おきに、5回目、6回目、7回目、8回目、9回目と治療を進めることが出来ました。
5回目からは入院ではなく、抗がん剤の入ったポーチを肩から下げて自宅で過ごす「通院治療」に切り替わりました。
この頃から副作用も強くなってきましたね。
- 指先や皮膚の黒ずみ
- 肌荒れ(ニキビ) → 皮膚科を受診し、塗り薬を処方
- 腰の痛み → 整形外科を受診。「骨転移の可能性」も示唆される(結果、一時的な痛みで済みました)
皮膚や指先の黒ずみについては、

抗がん剤をやめるとスーッと解消していきます
と看護師さんからは聞いています。もちろん個人差はあるようでけど。なるべく早く治療を終えたいものです。
2025年9月:3回目のCT検査
肝臓に転移したがんがさらに小さくなっていました。それを証明するかのように腫瘍マーカーも下がっていました。

(腫瘍マーカー16)
2025年10月:10回目の抗がん剤
事前の血液検査で白血球数が足りず、延期になっていた10回目の抗がん剤治療を行う。
肌荒れとしびれが気になるので相談したところ、

ベクティビックスとエルプラットの量を減らしましょう
と提案いただきました。症状が軽減されることを願います。
2025年10月:腹痛で受診
右わき腹の痛みが続いたので、予約なしでしたが診察をお願いしました。

ここ痛いですか?ここは?
と脇腹を押して行くと、
筆者はうっ!
と激痛で声が出ちゃうポイントがあるのです。
念の為にCT検査と血液検査で異常がないか確認。特に骨折などもなく血液検査も問題ないとのこと。
便秘も続いていたので、大腸が詰まって腸閉塞になったかと心配しましたが、そうではないようです。
また肝臓ががん細胞に埋め尽くされると膨れて常に痛みが出るようですが、わたしは「押すと痛い」のでそれも違いました。
原因が分からないので、痛み止めを処方してもらって経過観察になりました。
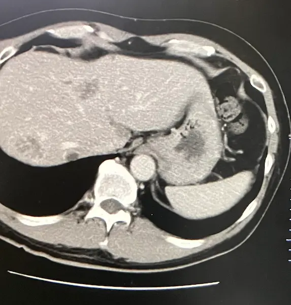
またCT画像では、がんが白く石灰化しているのが確認できました。腫瘍マーカーは7。ついにひと桁まで下がりました。

(腫瘍マーカー7)
抗がん剤治療の効果が出ています。
2025年10月:11回目の抗がん剤治療
わき腹の痛みもいつの間にか治まり、滞りなく11回目の抗がん剤治療ができました。
抗がん剤の量を減らしてからしんどさが減ったかも。抗がん剤ポーチを付けながら外出も多少楽になりました。
この週は抗がん剤をつけたまま、横須賀の軍港クルーズに出かけて気分転換しました。
インフルエンザ予防接種キャンセル
体調が良いうちにインフルエンザの予防接種をしておこうと予約しましたが、身体がしんどくなって来ました。
筆者お腹がパンパンだし、思うように呼吸ができなくて息苦しい。
この状態でインフルエンザ菌を体内に入れたくなくて、予防接種はキャンセルしました。
2025年10月:抗がん剤を延期する
12回目の抗がん剤治療も延期しました。
筆者なんだかしんどいです。少し咳も出ます。
レントゲンで肺や腸を確認。抗がん剤の副作用で肺炎となることもあるようで、念の為に調べていただきました。
しかし、

肝臓の位置が少し高めですけど特に問題はなさそうです。血液検査の結果も問題ないですね。
どうすればいいか医師と相談した結果、

無理は良くないので今回は体調が良くない、ということで延期しましょう
と判断いただきました。
いつもの口内炎のうがい薬と、ミノマイシンという皮膚の炎症を抑える薬のみ処方してもらって帰宅しました。
2025年11月:12回目の抗がん剤治療
副作用で手が痺れ、文字を書くのが辛い。どうしても上手く書けない。あとは口の中の口内炎が辛すぎる。
医師に相談した結果、痺れの原因となる薬剤、

エルプラットを中止しましょう
となりました。
痺れが治ったらまた投与できるのでエルプラットはしばらくお休み。その他の薬剤は継続投与となりました。
あと気になる点もあって血中酸素濃度が低いのです。何回計測しても92~93なのです。

深呼吸してください
頑張って息吸って94~95なのです。どうしたものか。
そしてこの週も抗がん剤をつけたまま、ジャパンモビリティショーに行きました。やはり外を歩くと気分転換になります。
2025年11月:ステントが行方不明に
4月に大腸に挿入手術したステントが先月から行方不明になっています。10月に撮影したレントゲンやCTで確認できないのです。
がんが縮小したのであればいいのですが、何らかの理由でステントが緩み、便と共に排出してしまったよう。確かにここ最近、便の出にくさを感じていました。
経過良好とは言え、まだまだ大腸がんが邪魔しているような感じです。
医師からは、

トイレ詰まらなかった?
とご心配いただきましたが、いつ何処で出てしまったのか記憶になく。
今後の予定
2025年11月:13回目の抗がん剤治療
引き続き分子標的薬を投与して行く予定です。
2025年12月:CT検査
まとめ:治療の記録は続いていく
私のがん治療は今のところ順調に進んでいますが、白血球が足りなくなったり、体調が悪くて延期せざるを得ない時期もありました。
息苦しくなって骨やお腹に痛みが出たり、副作用に苦しんだり、抗がん剤治療は「山あり谷あり」です。
今回ご紹介したタイムラインは、あくまで私個人の一例に過ぎません
しかし、これから治療を始める方にとって、 「こんな流れで進むんだ」 「こんな副作用が出て、こう対処するんだ」 という一つの「実例」として、役立てていただければ幸いです。
治療の記録は、これからも随時更新してまいります。
この記事の著者である私は、医師や薬剤師などの医療資格を持つ専門家ではありません。
本記事の内容は、大腸がん闘病中の一人の人間として、
- がん患者としての実体験、
- がん薬物療法看護認定看護師や腫瘍内科医師への質問を通じて得た知識、
- 国立がん研究センターに掲載されたがん情報
を個人的にまとめたものです。
つきましては、以下の点にご留意いただけますと幸いです。
- 本記事は、医学的な診断や治療のアドバイスを行うものではありません。
- 掲載情報については正確性を期しておりますが、その安全性を保証するものではありません。
- ご自身の治療については、必ず担当の医師や専門家に直接ご相談の上で、医師や専門家の指示に従ってください。
当サイトに掲載された内容によっていかなる損害等が生じても、当方は一切の責任を負いかねます。
当サイトをご利用いただく際は、以上のことをご理解いただいたうえで自己責任でおこなわれるようお願いいたします。
